北京三元网给大家介绍美容冠牙齿矫正好不好?美容冠牙齿矫正多少钱?美容冠牙齿矫正有什么危害吗?希望大家对自己的牙齿美丽方法找到出路。
牙冠结构
从牙齿的外部形态观察,每个牙皆由牙冠、牙颈、牙根三部分构成,前两者又构成了牙体,其中牙冠是牙齿的重要组成部分,位于牙齿顶端,暴露于口腔中牙龈边缘以上部位。健康的牙冠有多个标志点,如切嵴、牙尖、舌凹和斜面等等,而不同的标志点都在咀嚼过程中发挥着对食物的撕扯、切断、捣碎、研磨等不同生理效能,此外,发音功能的实现也离不开牙冠,并且洁白整齐的牙冠对于牙齿的整体美有显著作用。
“美容冠”牙齿美容技术在流行于欧美、日韩的一种新兴牙齿美容技术,对错位牙、畸形牙的临床冠部分施以专业手段,后用美容冠加以修复。具有美牙不拔牙,苦,时间短,牙齿坚固,多年后牙龈不会出现黑线等优点,从而达到终生有保障的美牙效果。

图1.美的牙冠
美容冠简介
在传统的牙科修复中,大部分的牙齿矫正,如补牙、镶牙、种植牙、地包天等牙齿畸形都可以通过拔牙、牙套等方式来完成,而变色牙,如四环素牙、氟斑牙等都可以通过牙齿漂白技术来进行修复。然而,随着医疗美容手段的不断发展,美容冠技术开始盛行,并逐渐形成了其大的优势,即对于牙体形态、结构、排列或者颜色等异常情况,无需拔牙就可达到修复牙体和美白的双重功效。
目前,在临床中,美容冠的应用按照牙冠缺损修复程度的不同分为两种形态,即全冠和部分冠,市面上较为常见的全冠,按照材质的不同又主要分为烤瓷牙和全瓷牙;部分冠,也就是俗称的瓷贴面。美容冠的手术费用大概在5000-10000元/颗之间不等,具体与需要矫治的牙齿数量相关,且治疗过程根据需求进行一次或多次,术后效果一般较为理想。
美容冠的方法美容冠牙齿矫正好不好?美容冠牙齿矫正多少钱?美容冠牙齿矫正有什么危害吗?
(1)、烤瓷牙:这是由单一金属或合金与磁粉用火烤制而成的空心牙套,按照成分的不同也可分为贵金属烤瓷牙和非贵金属烤瓷牙,区别在于金属原料选用和配比的不同,贵金属主要包含金、银、铂等名贵金属;而非贵金属主要选用锰、铬、镍等普通金属,两者在牙冠制作后显现的光泽度以及佩戴后的使用时间等方面均有不同,前者更优。烤瓷牙的金属成分主要构成牙套的里层,用于与残牙粘合,磁粉包绕在金属层外,形成牙冠各个标志点,外观与临近健康牙齿形态相似。
(2)、全瓷牙:全瓷牙与烤瓷牙的制作原理基本相似,只是牙冠的里层和外层均由磁粉烤炙而成,与烤瓷牙相比不但避免了金属材质的敏感性,又增加了牙冠透明度,使外观更加自然亮白,不过全瓷牙价格更高。
(3)、瓷贴面:瓷贴面是通过应用粘接材料将人工瓷修复固定体固定于患牙唇面,以遮盖前牙唇面影响美观的缺损。瓷贴面属于部分牙冠修复,所以其需要的备牙少,对牙根部的刺激较小,但根据相关文献报道,瓷贴面的制作厚度需严格把控,所以瓷贴面的适用范围有一定的局限性。另外,在临床应用中,瓷贴面根据材质的不同也主要分为烤瓷和全瓷两种。
平均费用:23000元
满 意 度:满意
恢 复 期:90天
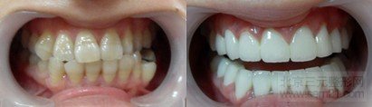
美容冠前后效果图

图2.美容冠前后效果对比图
关联项目
在牙齿美容中,美容冠的广泛应用使得牙齿形态、结构、排列等畸形都可以得到不同程度的缓解,但是对于牙根部的缺损,如牙齿缺失等,美容冠还不能满足所有的矫正需求,这时需根据缺损程度和类型的不同进行种植牙、镶牙等修复。
以上就是北京三元网给大家介绍的美容冠牙齿矫正好不好?美容冠牙齿矫正多少钱?美容冠牙齿矫正有什么危害吗?如果还有什么疑问,可以点击咨询,有在线给大家解答问题的!






