种植牙寿命多长,多少钱一个价格多少钱,效果怎么样,需要多长时间?种植牙指的是一种以植入骨组织内的下部结构为基础来支持、固位上部牙修复体的缺牙修复方式。它包括下部的支持种植体(dental implant)和上部的牙修复体(dental prosthesis, implant-supported)两部分。它采用人工材料(如金属、陶瓷等)制成种植体(一般类似牙根形态),经手术方法植入组织内(通常是上下颌)并获得骨组织牢固的固位支持,通过特殊的装置和方式连接支持上部的牙修复体。种植牙可以获得与天然牙功能、结构以及美观效果十分相似的修复效果,已经成为越来越多缺牙患者的修复方式。
种植牙的发展历史
早在古代,欧洲、中东、中美洲人们就试图使用各种同种或异种材料,包括人和动物的牙齿、雕刻的骨头和贝壳等,植入颌骨来替代缺失的牙齿。近现代,人们尝试采用人工材料制成多种形状的种植体,通过植入骨内或骨外来修复缺牙或为牙修复体提供支持。但这些种植体因不能满足复杂的口腔环境要求,出现了大量的脱落失败。20世纪中期,瑞典人Brånemark观察到动物的骨组织能与植入的钛金属装置紧密的结合。他后来将这一现象定义为骨结合(osseointegration)。1965年,他将研发的骨结合钛种植体用于第一例临床病例,成功地修复了腭裂缺损。1982年,在多伦多会议上,Brånemark报道了关于骨结合长达15年的大量研究工作,被公认为口腔医学的突破性进展。它奠定了口腔医学一个新的分支学科—口腔种植学的基础。在随后的几十年里,口腔种植学迅速发展并成熟,种植牙作为一种与天然牙功能、结构以及美观效果十分相似的修复方式,已经成为口腔医学界和缺牙患者的。
种植系统
种植系统通常根据种植体的材质、形状结构、表面结构以及连接方式进行分类。口腔种植学的临床实践使得当代口腔种植体材料以及种植体形态趋向单一化。种植体主要由4级商用纯钛制成,螺纹柱状、根形种植体已成为世界范围内被广泛接受的种植体形态。研究证明适度粗糙的表面结构可以增加种植体表面面积和骨结合。因此,目前临床上使用的种植系统一般为经过各类表面处理而获得的不同粗糙程度的粗糙表面。种植体与其上方的修复体通过一定的结构相连接,主要分为外连接和内连接两种。
种植体支持式牙修复体
主要包括牙列缺损修复中采用的各类种植体支持的冠、桥修复,牙列缺失修复中采用的各类种植体支持的固定和活动修复。种植体与修复体的连接方式主要采用螺丝固位和粘接固位两种方式。
种植牙适应症和禁忌症
适应证
随着各类口腔种植植骨技术、植骨材料的应用,种植系统的不断完善,影像技术和数字化技术的发展,目前单牙缺失、多牙缺失及无牙颌患者理论上均可接受种植修复治疗。
禁忌证
全身健康状况不良。严重的内分泌代谢障碍,如未受控制的糖尿病。血液系统疾病,如红细胞或白细胞性血液病,凝血机制障碍等。心血管系统疾病,不能耐受手术的。长期服用特殊药物影响凝血或组织愈合能力者。严重的系统性免疫性疾病。过度嗜好烟酒、神经及精神疾患者。妊娠期患者。受口腔颌面部局部条件限制的患者。
种植牙治疗过程
包括:临床检查与影像学检查、诊断与治疗设计、外科手术、义齿制作与修复以及种植体及修复体的维护等。根据种植体植入与拔牙的时间关系,种植手术可以分为种植、延迟(拔牙后3个月内)和延期种植(拔牙后3个月及更长)。根据修复体负重与种植体植入的时间关系,种植修复可以分为负重、早期负重和延期负重。随着口腔种植学的发展,治疗的周期正在缩短,种植体植入戴上种植假牙,甚至拔牙戴上种植假牙在成为可能。
种植牙
种植修复的与多方面因素有关,包括:患者的全身与局部条件、严格规范的手术操作、种植系统的选择、修复的设计与修复体的制作、维护等。过去30年来,现代口腔种植学迅速发展并完善。种植的5年已经大大超过1986年Albrektsson和Zarb的上颌80%,下颌85%的标准。国内近年的报道显示,规范的口腔种植治疗可以达到10年95%以上的或存留率。
种植牙并发症
一般分为生物学并发症和机械并发症两类。生物学并发症包括:外科手术相关的出血、神经损伤、上颌窦穿孔、邻牙损伤以及术后感染、种植体周围炎及脱落等。机械并发症主要包括种植体及修复体相关的螺丝、基台、种植体折断、修复体损坏等。
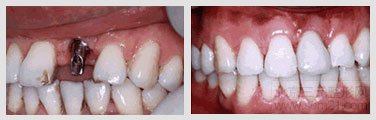
种植牙案例对比图

一、什么是瑞典NobelGuide植牙
种植牙寿命多长,多少钱一个价格多少钱,效果怎么样,需要多长时间?瑞典NobelGuide植牙局已经有四十年的历史了,该种植系统主要采用计算机的自动设计和激光定位功能,使种植牙过程变成全程自动化处理,不仅对患者的牙齿起到质量的,而且植牙的时间也由原来的一周减少至1个小时即可完成。
二、瑞典NobelGuide植牙怎么做?
1、对患者口腔进行检查,排除有无口腔疾病;
2、在患者缺牙区开个小孔,通过植牙的专业设备,将植牙的钢钉植入,然后进行缝合;
3、为了保障患者的牙齿功能,医生会给患者装上临时的牙冠;
4、当种植钉完全与颌骨结合后,再切开牙龈,在种植钉上连接一个愈合基台,使软组织在两至三个星期内成形,在这期间病人必须保持口腔卫生,不能出现炎症。
5、牙槽骨愈合后,用性的基台替换下愈合基台,开始取模、印模,对修复的牙齿进行设计,然后送到技工室去加工制作。
6、戴上烤瓷冠:将制作完成的烤瓷冠进行调整,达到佳的舒适度,种植牙就完成了。
三、哪些人适合做瑞典NobelGuide植牙
1、单牙齿缺失;
2、多牙缺失;
3、游离端缺失牙;
4、全口牙缺失;
5、颌骨缺损;
四、 瑞典NobelGuide植牙注意事项有哪些
1、全身健康状况不良,严重的内分泌代谢障碍,如未受控制的糖尿病不宜进行种植牙手术。
2、血液系统疾病,如红细胞或白细胞性血液病,凝血机制障碍等不宜进行种植牙手术。
3、心血管系统疾病,不能耐受手术的。长期服用特殊药物影响凝血或组织愈合能力者。
4、妊娠期患者、哺乳期、经期女必不宜进行种植牙手术。
五、瑞典NobelGuide植牙有副作用吗?
外科手术相关的出血、神经损伤、上颌窦穿孔、邻牙损伤以及术后感染、种植体周围炎及脱落等。机械并发症主要包括种植体及修复体相关的螺丝、基台、种植体折断、修复体损坏等。
六、瑞典NobelGuide植牙的优缺点比较
优点:不用开刀、效果逼真、痛苦小;
缺点:价格比较贵,单颗牙售价1万以上;
种植牙寿命多长,多少钱一个价格多少钱,效果怎么样,需要多长时间?这是北京三元网给大家讲解的,如果大家还有什么疑问,可以点击咨询在线免费。






