我刚刚结束两年漫长的牙齿矫正经历!我会从初贴上自锁托槽矫正器开始到摘掉矫正器中间的过程进行一个简单有趣的介绍。矫正牙齿首先要选择值得信赖的牙科,我选择的是上海九院牙齿整形科!
牙齿矫正会引起外貌上的变化,也可能影响健康方面的问题,因此在进行矫正前精密的检查显得尤为重要。有些牙科不考虑个人外貌上的变化,只要患者愿意就进行拔牙矫正,这样很容易矫正失败,因为牙科的选择及其重要。
我矫正牙齿的两年期间,上海九院牙科一直提供专业舒适的诊疗服务也是我心怀感恩的原因之一,坚决推荐!

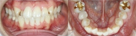
矫正之前,我的虎牙很严重,参差不齐,上下牙齿排列也不整齐,笑的时候要挡着嘴巴。

先给大家看自拍照,治疗之前我有虎牙,小时候觉得这样很可爱,但是20多岁了就显得有点尴尬了,看起来不够干净利索。矫正之后整体改变大。


像我这种排列不整齐的牙齿,如果戴牙套矫正的话会很痛,因为突然开始让牙齿移动,改变位置,你可以自行脑补。就像小时候换牙时牙齿晃动的那种感觉。
刚上矫正的那几天,有种骨折的感觉,啥都不能吃,三天之内我只喝了饮料,那之后慢慢开始考虑喝粥。因为托槽等一些装置会滑嘴,这时掰一小块蜡条,贴在磨嘴的尖锐部分,可以有效地缓解伤口加重。
这样矫正就开始了!

用弹簧装置牙齿移动空间,让内缩的牙齿被拉出来。


虎牙的形成是由于在有限的口腔内,牙齿萌出时周边空间不足导致牙齿里进外出。
首先用弹簧装置牙齿移动空间后,将进行拔牙!偶尔会有人问我拔牙的相关事情,由于是否拔牙是因人而异的,因此进行精密检查后,如果牙齿移动空间足够的话,就没有必要拔牙。
像我是空间不足因此拔了牙!拔牙时候打的麻醉针药效退去之后很疼
矫正15~23个月后,开缝的上排牙齿根部变化。


矫正开始后每个月都要去一次牙科进行月诊,3个月的功夫虎牙就变得整齐了,其他牙齿也开始移动,牙齿间的空隙慢慢闭合。这时候牙根没有闭合, 随着每次月诊时会重新调换并加紧弓丝的同时,牙根间的缝隙也很快就闭合了!之后就要使用橡皮筋。
现在可以看到上下牙齿正中线对齐呈一字型。其实以前比有虎牙更让我郁闷的是上下牙齿的正中线不对齐,矫正后现在已经完美。



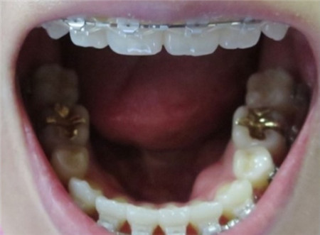
原以为矫正器摘掉之后就结束了,先让我哭会儿……牙齿内侧还有小白齿部位要贴小细铁丝,还有整体套在牙上的透明保持器,还要再戴两年,还真是没完没了的矫正…… 戴橡皮筋和透明保持器的两年间,除了吃东西的时候摘掉以外要一直带着,有一种重新开始矫正的感觉。
下面是我的牙齿矫正中不同阶段的变化:




还有问我多的问题是不拔牙矫正后脸型是否会发生变化,我很了解你们的心情对吧?
其实这个问题我也一直很好奇,但是矫正之后我的脸型完全没有改变。但是看周围矫正的人当中有原来下巴比较前凸,矫正后线条变得很柔和的人! 但是偶尔也有原来脸很秀气,矫正后变得很长的案例……
在这里提醒大家:当然我初矫正的主要意图是牙齿外观可以得到改善,但是由于我的牙齿很不整齐,所以也存在牙龈经常肿及牙齿容易产生结石等问题。
即牙齿矫正可以很大程度上改善牙齿外观上存在的问题,同时也可以解决牙龈护理,口腔清洁等方面出现的问题。另外,牙齿管理不仅是矫正期间短短的两年,而是毕生都需要做的功课。
矫正不是一件简简单单的事情,因此自己本身牙齿还算整齐,不是特别恶劣的话,建议丢掉你的欲望和贪心,因为你已经赚啦!如果你正在纠结是否矫正的话,建议你找一个既有实力又可以每次月诊都很舒心的牙科!






